矯正治療を始めませんか?

矯正治療は、年齢に関係なく始めることができます。子どもから大人まで、思い立ったときが始めどきです。お口の健康状態に問題がないことという条件はありますが、実際に60代から矯正治療をスタートされた方もいらっしゃいます。
「ずっと気になっていた口元、このままでいいのかな……」と思ったその瞬間が第一歩を踏みだすときです。
「目立たない装置で整えたい」「人前に立つ仕事だからきれいにしたい」という、学校や仕事で活躍される世代の方のニーズにもお応えします。
丁寧にカウンセリングを行いますので、まずはご希望をお聞かせください。
「ずっと気になっていた口元、このままでいいのかな……」と思ったその瞬間が第一歩を踏みだすときです。
「目立たない装置で整えたい」「人前に立つ仕事だからきれいにしたい」という、学校や仕事で活躍される世代の方のニーズにもお応えします。
丁寧にカウンセリングを行いますので、まずはご希望をお聞かせください。
矯正歯科治療を専門に行う
歯科医師が担当します

小金井矯正歯科・歯科 院長
略歴
昭和大学歯学部 卒業
東京医科歯科大学咬合機能矯正学教室にて歯科矯正学専攻
東京医科歯科大学咬合機能矯正学教室にて歯科矯正学専攻
所属団体
日本矯正歯科学会
日本口蓋裂学会
日本顎変形症学会
日本口蓋裂学会
日本顎変形症学会
資格
「日本矯正歯科学会 認定医」
受賞
第65回 日本矯正歯科学会学術大会 優秀発表賞

「小金井矯正歯科・歯科」では、矯正治療を専門とする歯科医師が、患者様のご希望やライフスタイルを大切にしながら、お一人お一人に合った矯正プランをご提案しています。
院長の岡山あゆみは、大学病院の矯正歯科での臨床経験と専門的な研修のあと、これまでに多数の患者様の矯正治療を行ってまいりました。当院では小児期の早期矯正から成人矯正、さらには外科的な処置が必要な難症例まで、幅広いニーズに対応しています。
患者様の「こうなりたい」というお気持ちを大切にしながら、ライフスタイルや成長段階に応じた治療計画を立案。見た目の美しさだけでなく、かみ合わせや発音といった機能面にも配慮し、将来を見据えた治療を心がけています。
矯正歯科は、歯科医療の中でも特に専門性が求められる分野です。当院では、専門の知識と豊富な経験をもつ歯科医師が、初診から治療完了後の保定管理まで一貫して診療にあたる歯科医院です。
女性歯科医師が多く在籍する当院では、すべての歯科医師が丁寧なカウンセリングを行い、安心して治療を受けていただける体制を整えています。
見た目だけでなく、しっかり噛めるお口へ

矯正治療は、見た目の美しさだけでなく、「噛む」「話す」といった基本的な機能を整えることにもつながります。
歯並びやかみ合わせが整うと、食べものをしっかり噛めるようになり、お口の中を清潔に保ちやすくなるため、むし歯や歯周病のリスク軽減にもつながります。
歯並びやかみ合わせが整うと、食べものをしっかり噛めるようになり、お口の中を清潔に保ちやすくなるため、むし歯や歯周病のリスク軽減にもつながります。
むし歯や歯周病の予防にもつながります

矯正治療は、「見た目を整えたい」という理由だけでなく、歯の健康を守るためにも有効です。
歯が重なっていたり、傾いていたりすると、歯ブラシの毛先が届きにくくなり、むし歯や歯周病の原因になります。矯正治療で歯並びを整えることで、磨き残しが減り、毎日のケアがより効果的に行えるようになります。
また、かみ合わせを改善することで、顎関節や咀嚼(そしゃく)機能の不調が改善されることもあります。お口全体の健康を守る上でも、矯正治療は大きな意味を持っています。
歯が重なっていたり、傾いていたりすると、歯ブラシの毛先が届きにくくなり、むし歯や歯周病の原因になります。矯正治療で歯並びを整えることで、磨き残しが減り、毎日のケアがより効果的に行えるようになります。
また、かみ合わせを改善することで、顎関節や咀嚼(そしゃく)機能の不調が改善されることもあります。お口全体の健康を守る上でも、矯正治療は大きな意味を持っています。
筋機能療法(MFT)について

筋機能療法(MFT)とは、舌・唇・頬などの筋肉を、本来の適切なバランスへと整えていくトレーニングです。
舌癖や口呼吸など、無意識の癖によって歯並びやかみ合わせに悪影響が出ることがあります。
特に成長期のお子様は、筋肉や骨の発達に合わせて適切なお口の機能を身につけやすいため、MFTはとても効果的です。矯正治療とあわせて取り入れることで、歯並びの安定性が高まり、後戻りのリスクを軽減できるのも大きなメリットです。
正しい呼吸や飲み込み方、舌の位置などを習得することにより、お口周り全体のすこやかな発育をサポートします。
舌癖や口呼吸など、無意識の癖によって歯並びやかみ合わせに悪影響が出ることがあります。
特に成長期のお子様は、筋肉や骨の発達に合わせて適切なお口の機能を身につけやすいため、MFTはとても効果的です。矯正治療とあわせて取り入れることで、歯並びの安定性が高まり、後戻りのリスクを軽減できるのも大きなメリットです。
正しい呼吸や飲み込み方、舌の位置などを習得することにより、お口周り全体のすこやかな発育をサポートします。
矯正が必要とされるおもな歯並びのタイプ

上顎前突
(じょうがくぜんとつ)
いわゆる「出っ歯」で、上の歯が前に大きく突き出ている状態です。

下顎前突
(かがくぜんとつ)
「受け口」や「反対咬合」とも呼ばれ、下の歯が上の歯より前に出ている状態です。

上下顎前突
(じょうげがくぜんとつ)
上下の前歯がともに前方へ突き出している状態で、お口を閉じにくくなることがあります。

交叉咬合
(こうさこうごう)
上下の前歯が交差してかみ合っておらず、左右にずれている状態です。

叢生
(そうせい)
歯が重なり合って生えている「乱杭歯(らんぐいば)」で、八重歯も含まれます。

空隙歯列
(くうげきしれつ)
「すきっ歯」ともいわれる、歯と歯の間にすき間がある状態です。

開咬
(かいこう)
前歯が上下でかみ合わず、常にすき間が空いている状態で、咀嚼や発音に影響します。

過蓋咬合
(かがいこうごう)
上の歯列が下の歯列を深く覆っている状態です。噛む力の影響で歯や顎に負担がかかることもあります。
矯正装置の種類について
当院では、患者様のライフスタイルやご希望に合わせて、さまざまな矯正装置をご用意しています。

マルチブラケット装置
歯の表面に装着するタイプの矯正装置で、一般的に広く使用されています。
セラミック製やプラスチック製など、目立ちにくい素材を使用することで、自然な見た目に配慮した治療が可能です。当院では、前歯にはクリアブラケットを標準で使用しています。
歯の一本一本を細かくコントロールできるため、精密な矯正に適しています。
セラミック製やプラスチック製など、目立ちにくい素材を使用することで、自然な見た目に配慮した治療が可能です。当院では、前歯にはクリアブラケットを標準で使用しています。
歯の一本一本を細かくコントロールできるため、精密な矯正に適しています。

マウスピース型矯正装置
取り外し可能な透明のマウスピースを装着することで、歯を少しずつ動かしていく矯正方法です。
見た目が自然で、会話中にもほとんど気づかれません。食事や歯磨きの際には取り外せるため、日常生活への影響が少ない点もメリットです。人前に立つお仕事をされている方や、矯正中の見た目が気になる方にも人気です。
見た目が自然で、会話中にもほとんど気づかれません。食事や歯磨きの際には取り外せるため、日常生活への影響が少ない点もメリットです。人前に立つお仕事をされている方や、矯正中の見た目が気になる方にも人気です。

舌側矯正装置
歯の裏側(舌側)に装置を取り付けて行う矯正方法です。
外からはほとんど見えないため、「目立たずに治療を進めたい」と希望される方に適しています。接客業や営業職の方など、人目を気にされる方にも好評です。
外からはほとんど見えないため、「目立たずに治療を進めたい」と希望される方に適しています。接客業や営業職の方など、人目を気にされる方にも好評です。
矯正治療における一般的なリスク・副作用
矯正治療には、以下のような注意点があります。

- 矯正装置を装着した直後には、痛みや違和感を覚えることがありますが、数日から1〜2週間ほどで慣れる方が多い傾向にあります。
- 歯の動きには個人差があるため、当初の治療計画よりも期間が延びる場合があります。
- 装置の使用状況や通院の頻度によって、治療結果に差が生じる可能性があります。患者様のご協力が大切です。
- 装置の周囲に食べかすが溜まりやすくなるため、むし歯や歯周病のリスクが高まります。丁寧な歯磨きと定期的なメンテナンスが必要です。
- 歯が動く過程で、これまで見えていなかったむし歯が見えるようになることがあります。
- ごくまれに、歯の根が短くなったり、歯ぐきが下がったりすることがあります。
矯正治療の流れ

ご予約
まずはお電話またはWEB予約にて、事前にご予約をお願いいたします。

ご相談・カウンセリング(約30分)
歯並びに関するお悩みやご希望を丁寧におうかがいし、矯正装置の種類や治療にかかるおおまかな期間・費用についてご説明します。

精密検査(約30〜50分)
歯型の採取、口腔内写真の撮影、レントゲン撮影などを行い、現在のお口の状態を詳しく調べます。
※他院からのセファロ(頭部X線写真)撮影のみも可能です
※他院からのセファロ(頭部X線写真)撮影のみも可能です

診断(約30分)
検査結果にもとづいて治療方針をご説明します。装置の種類や費用、期間なども詳しくご案内し、ご納得いただいた上で治療を開始します。
マウスピース型矯正装置(インビザライン)での治療の場合は、治療後の歯並びがどのように変化するのか、シミュレーション画像をご確認いただけます。
マウスピース型矯正装置(インビザライン)での治療の場合は、治療後の歯並びがどのように変化するのか、シミュレーション画像をご確認いただけます。

治療開始
矯正装置を製作・装着し、定期的に調整を行いながら、治療を進めていきます。
矯正治療の方法によって、通院の頻度は異なります。
矯正治療の方法によって、通院の頻度は異なります。

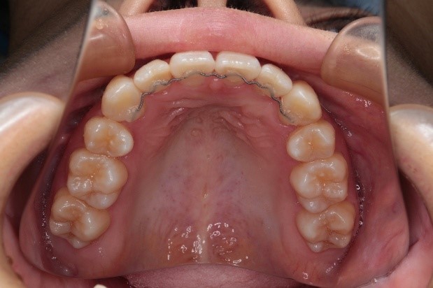
治療完了・保定
治療終了後は、歯の後戻りを防ぐために保定装置を装着します。安定するまで、定期的な経過観察が必要です。
よくあるご質問(Q&A)
-
矯正は何歳から始めるとよいですか?
永久歯が生え始めるころ(およそ小学校低学年)が目安ですが、個人差があります。歯並びによっては、さらに早い段階からのスタートが効果的な場合もあります。原因が指しゃぶりなどの癖なのか、骨の問題なのか見極めが必要なものがあるため、気になる点があれば、お早めにご相談ください。
-
矯正の治療期間はどれくらいですか?
年齢や歯並び、使用する装置によって異なります。軽度な症例であれば短期間で完了することもありますし、成長を見ながら長期的に治療を行う場合もあります。
-
痛みはありますか?
矯正装置をつけた直後や調整後に、歯が動くことで2〜3日ほど違和感や軽い痛みを感じることがありますが、ほとんどの方はすぐに慣れます。取り外し式の装置は、痛みが出にくい傾向にありますが、大きく歯は動きません。
-
抜歯が必要になることはありますか?
お口の状態に応じて、抜歯が必要となることもあります。歯の大きさや顎のバランス、口元の印象などを総合的に考慮して判断します。複数の治療プランをご提案し、患者様とご相談の上で進めますので、ご安心ください。
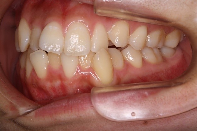
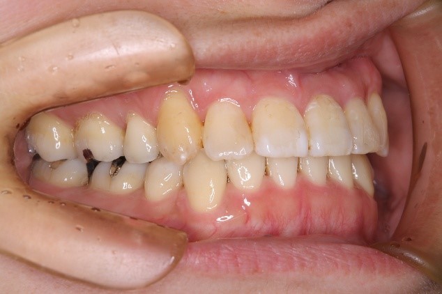
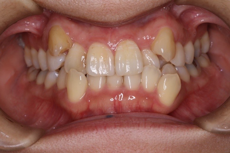
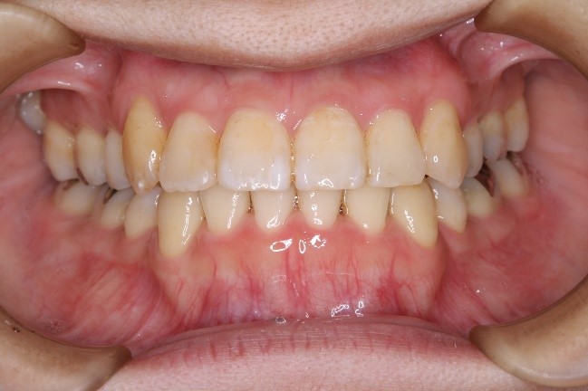
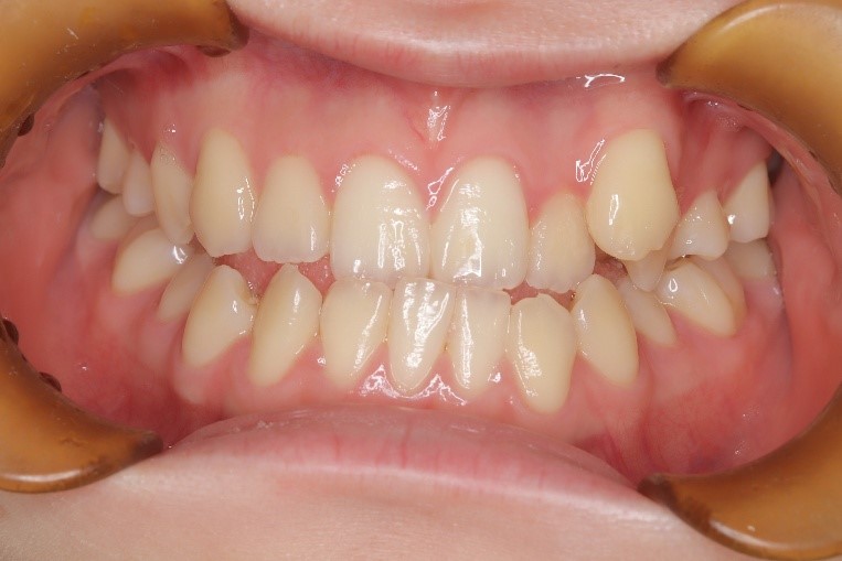
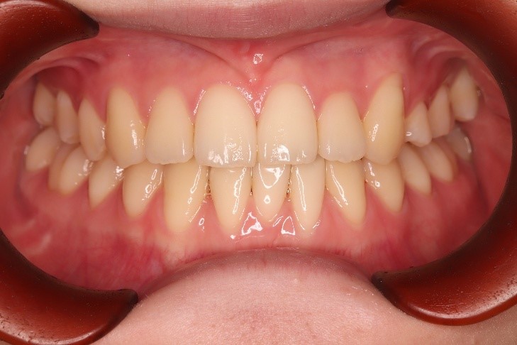
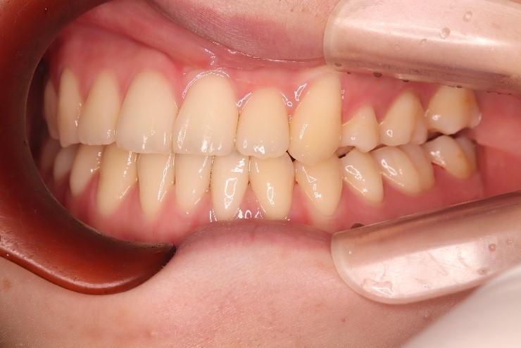
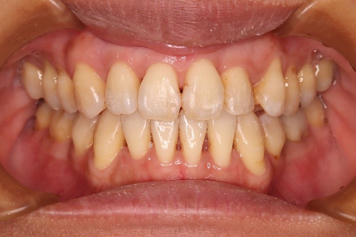
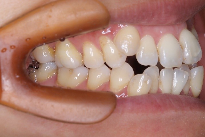
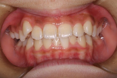
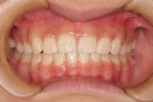
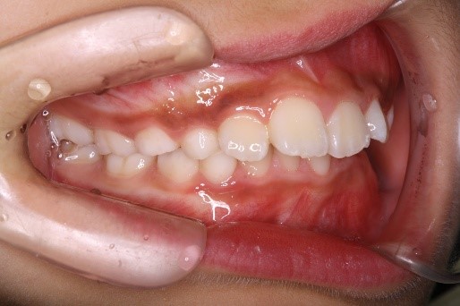
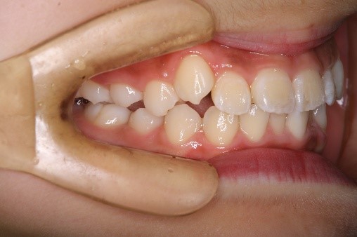
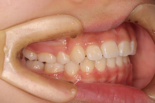
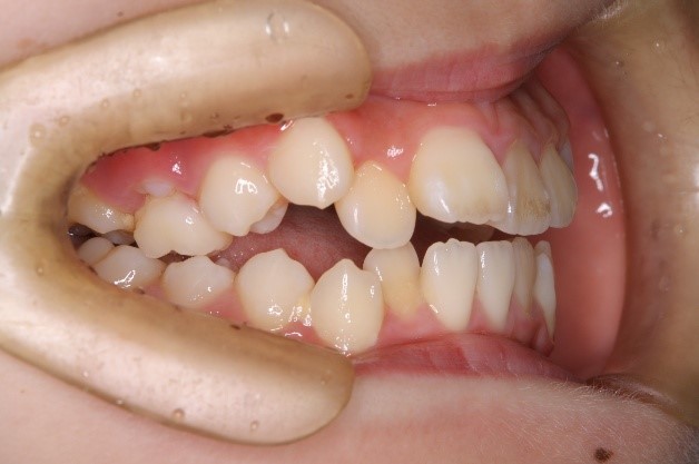
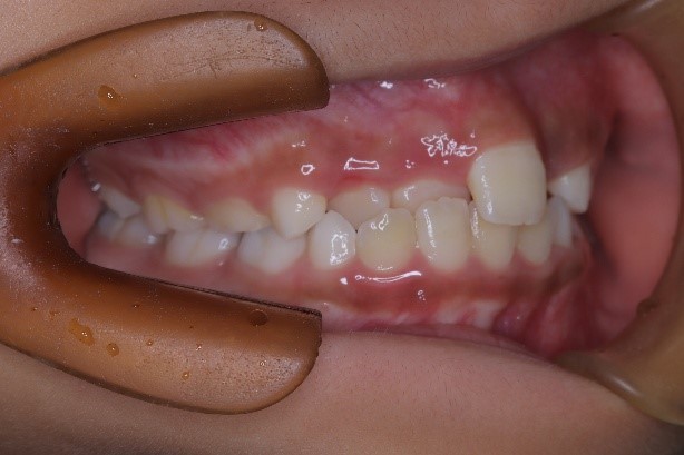
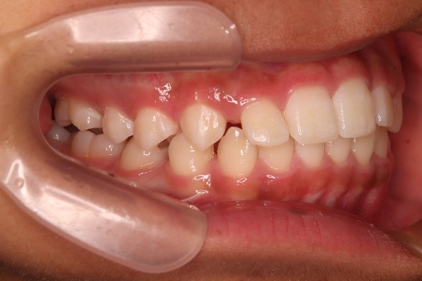
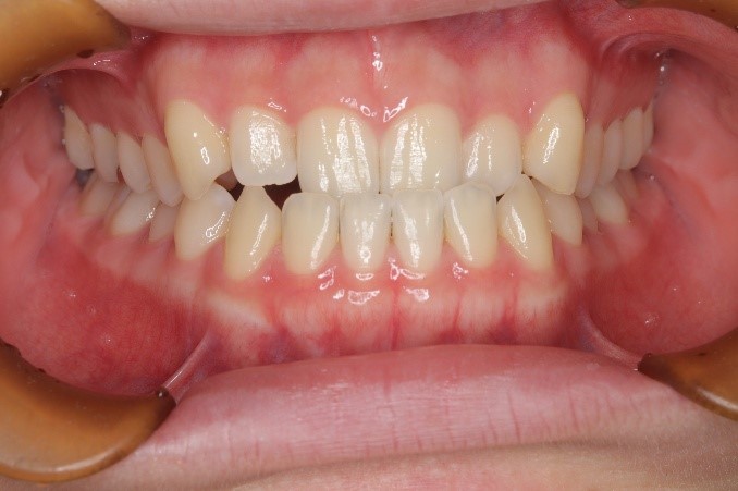
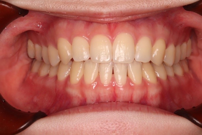
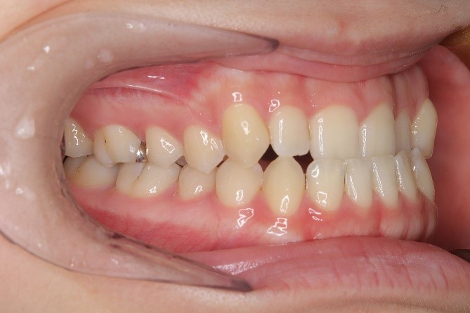
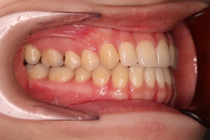
症例1:でこぼこ 埋伏
| 主訴 | でこぼこ | |
|---|---|---|
| 主な症状 | 上顎左側犬歯が埋伏しており、前歯部の叢生を伴う上下顎前突 | |
| 年齢 | 19歳 | |
| 治療 | まず、リンガルアーチにて埋伏している犬歯をけん引し正常であることが確認された後、上下左右第一小臼歯を抜歯し、トランスパラタルアーチ、マルチブラケット装置を用いて治療を行った。途中状況に応じてバイトプレート、ヘッドギア、顎間ゴムも使用した。 | |
| 治療期間 | 3年2か月 | |
| 治療費 |
検査料11,000円 診断料27,500円 矯正基本料金660,000円 調節料5,500円(すべて税込) |
|
| 治療のリスクと副作用 | 矯正治療中の疼痛、歯肉退縮、歯根吸収、矯正治療後の後戻り、ブラックトライアングル | |
![]() ![]() |
||
![]() ![]() |
||
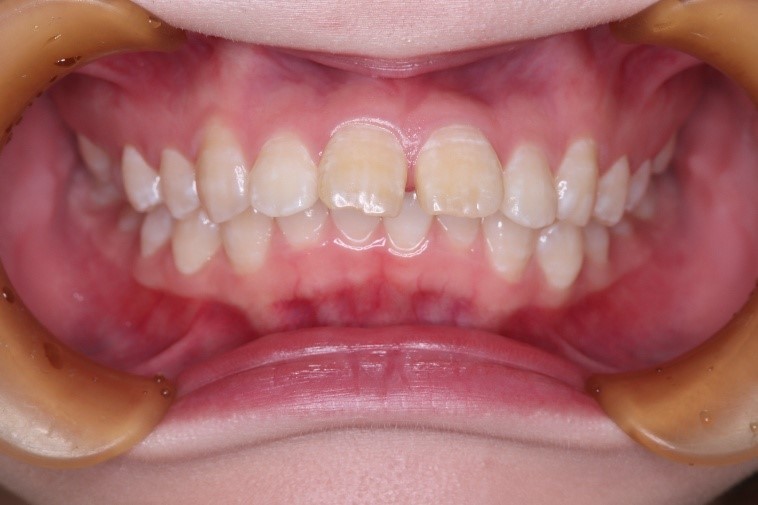
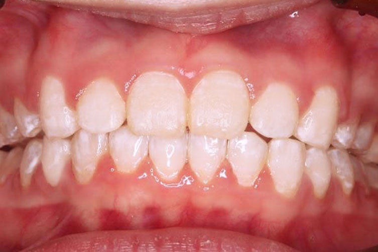
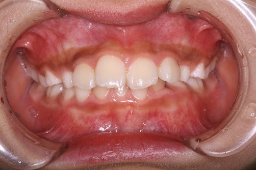
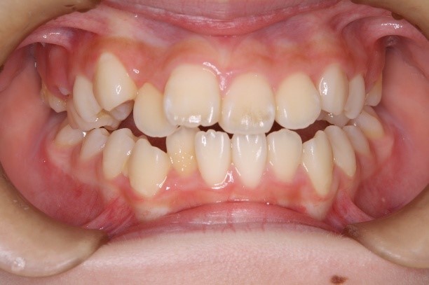
症例2:でこぼこ
| 主訴 | 八重歯 | |
|---|---|---|
| 主な症状 | 上下顎犬歯が唇側に転位し著しいがあり、下顎が前方位にあるかみ合わせが深い状態であった | |
| 年齢 | 33歳 | |
| 治療 | トランスパラタルアーチを装着後、上下左右第一小臼歯を抜歯し、マルチブラケット装置を用いて治療を行った。途中状況に応じてバイトプレート、ヘッドギア、顎間ゴムも使用した。 | |
| 治療期間 | 2年4か月 | |
| 治療費 |
検査料11,000円 診断料27,500円 矯正基本料金660,000円 調節料5,500円(すべて税込) |
|
| 治療のリスクと副作用 | 矯正治療中の疼痛、歯肉退縮、歯根吸収、矯正治療後の後戻り、ブラックトライアングル | |
![]() ![]() |
||
![]() ![]() |
||
症例3:出っ歯
| 主訴 | 上の前歯が出ていること | |
|---|---|---|
| 主な症状 | 上顎骨が前方位であり、かつ上下顎前歯が唇側に傾斜しており口元の突出感がある。かみ合わせが深い状態であった。 | |
| 年齢 | 23歳 | |
| 治療 | トランスパラタルアーチと歯科矯正用アンカースクリューを装着後、上顎左右第一小臼歯、下顎左右親知らずを抜歯し、マルチブラケット装置を用いて治療を行った。途中状況に応じてバイトプレート、顎間ゴムも使用した。 | |
| 治療期間 | 2年2か月 | |
| 治療費 |
検査料11,000円 診断料27,500円 矯正基本料金660,000円 調節料5,500円(すべて税込) |
|
| 治療のリスクと副作用 | 矯正治療中の疼痛、歯肉退縮、歯根吸収、矯正治療後の後戻り、ブラックトライアングル | |
![]() ![]() |
||
![]() ![]() |
||
症例4:反対咬合
| 主訴 | 反対咬合 | |
|---|---|---|
| 診断・主な症状 | 骨格性下顎前突 左上犬歯が八重歯で下顎前歯は1本歯が欠損し、上顎歯列の正中のズレと下顎骨の偏位があった |
|
| 年齢 | 18歳 | |
| 治療 | 外科手術を併用した矯正治療を行った。 上顎は左右小臼歯を1本ずつ抜歯し、トランスパラタルアーチを併用しマルチブラケット装置と顎間ゴムを用いて治療を行った。下顎第三大臼歯については、手術時に抜歯を行った。 |
|
| 治療期間 | 2年9か月 | |
| 治療費 | 保険適応(3割負担) | |
| 治療のリスクと副作用 | 矯正治療中の疼痛、歯肉退縮、歯根吸収、矯正治療後の後戻り、ブラックトライアングル | |
![]() ![]() |
||
![]() ![]() |
||
症例5:上顎左側犬歯先天欠如を伴う上顎前突、
開咬および叢生(上顎前歯部舌側矯正)
| 主訴 | でこぼこ | |
|---|---|---|
| 主な症状 | 上顎左側犬歯先天欠如を伴う上顎前突、開咬および叢生 | |
| 年齢 | 40歳 | |
| 治療 | ミニインプラント、右上小臼歯、下顎両側小臼歯便宜抜歯 マルチブラケット装置、上顎前歯舌側矯正 |
|
| 治療期間 | 3年3か月 | |
| 治療費 |
検査料11,000円 診断料27,500円 矯正基本料金825,000円 調節料4,950円(すべて税込) |
|
| 治療のリスクと副作用 |
矯正治療中の疼痛、歯肉退縮、歯根吸収、矯正治療後の後戻り ブラックトライアングル |
|
![]() ![]() |
||
![]() ![]() |
||
症例6:上顎前突(Ⅰ期治療とⅡ期治療)
| 主訴 | でっぱ | |
|---|---|---|
| 主な症状 | 上顎前突 | |
| 年齢 | 8歳 | |
| 治療 | Ⅰ期治療 拡大装置、マルチブラケット装置、機能的装置 Ⅱ期治療 ヘッドギア、小臼歯便宜抜歯、マルチブラケット装置 |
|
| 治療期間 | Ⅰ期治療 2年4か月 Ⅱ期治療 2年 |
|
| 治療費 |
検査料11,000円 診断料27,500円 Ⅰ期治療費 330,000円 Ⅱ期治療費 385,000円、調節料4,950円(すべて税込) |
|
| 治療のリスクと副作用 | 矯正治療中の疼痛、歯肉退縮、歯根吸収、矯正治療後の後戻り | |
![]() ![]() ![]() |
||
![]() ![]() ![]() |
||
症例7:犬歯低位唇側転位を伴う開咬、
上顎前突および叢生(10歳)
| 主訴 | 歯並びが気になる | |
|---|---|---|
| 主な症状 | 犬歯低位唇側転位を伴う開咬、上顎前突および叢生 | |
| 年齢 | 10歳 | |
| 治療 | ヘッドギア、小臼歯便宜抜歯およびマルチブラケット装置 | |
| 治療期間 | 3年1か月 | |
| 治療費 |
検査料11,000円 診断料27,500円 矯正基本料金715,000円 調節料4,950円(すべて税込) |
|
| 治療のリスクと副作用 | 矯正治療中の疼痛、歯肉退縮、歯根吸収、矯正治療後の後戻り | |
![]() ![]() |
||
![]() ![]() |
||
症例8:前歯部反対咬合、叢生(Ⅰ期治療)
| 主訴 | 小さいころからかみ合わせが気になっていた | |
|---|---|---|
| 主な症状 | 前歯部反対咬合、叢生 | |
| 年齢 | 8歳 | |
| 治療 | 拡大装置、マルチブラケット装置 | |
| 治療期間 | 2年7か月 | |
| 治療費 |
検査料11,000円 診断料27,500円 矯正基本料金330,000円 調節料4,950円(すべて税込) |
|
| 治療のリスクと副作用 |
矯正治療中の疼痛、歯肉退縮、歯根吸収、矯正治療後の後戻り 側方歯の生え変わり後の2期治療の必要性 |
|
![]() ![]() |
||
![]() ![]() |
||
症例9:前歯部反対咬合
| 主訴 | 滑舌が悪い | |
|---|---|---|
| 主な症状 | 前歯部反対咬合 | |
| 年齢 | 20歳 | |
| 治療 | マルチブラケット装置 | |
| 治療期間 | 1年4か月 | |
| 治療費 |
検査料11,000円 診断料27,500円 矯正基本料金715,000円 調節料4,950円(すべて税込) |
|
| 治療のリスクと副作用 |
矯正治療中の疼痛、歯肉退縮、歯根吸収、矯正治療後の後戻り ブラックトライアングル |
|
![]() ![]() |
||
![]() ![]() |
||
矯正歯科治療における一般的なリスク・
副作用
- 矯正歯科装置装着後に違和感、不快感、痛みなどが生じることがあります。
一般的には数日間~1、2週間で慣れてきます。 - 歯の動き方には個人差があります。そのため予想された治療期間が延長する可能性があります。
- 矯正歯科装置の使用状況、顎間ゴムの使用状況、定期的な通院など、矯正歯科治療には患者さんの協力が必要であり、それらが治療結果や治療期間に影響します。
- 治療中は矯正歯科装置が歯の表面に付いているため食物が溜りやすく、また歯が磨きにくくなるため、むし歯や歯周病が生じるリスクが高まります。
したがってハミガキを適切に行い、お口の中を常に清潔に保ち、さらにかかりつけ歯科医に定期的に受診することが大切です。
また、歯が動くと隠れていたむし歯が見えるようになることもあります。 - 歯を動かすことにより歯根が吸収して短くなることや歯肉がやせて下がることがあります。
- ごくまれに歯が骨と癒着していて歯が動かないことがあります。
- ごくまれに歯を動かすことで神経が障害を受けて壊死することがあります。
- 矯正歯科装置などにより金属等のアレルギー症状が出ることがあります。
- 治療中に顎関節の痛み、音が鳴る、口が開けにくいなどの顎関節症状が生じることがあります。
- 治療の経過によっては当初予定していた治療計画を変更する可能性があります。
- 歯の形の修正や咬み合せの微調整を行ったりする可能性があります。
- 矯正歯科装置を誤飲する可能性があります。
- 矯正歯科装置を外す際にエナメル質に微小な亀裂が入る可能性や、かぶせ物(補綴物)の一部が破損する可能性があります。
- 動的治療が終了し装置が外れた後に、現在の咬み合せに合った状態のかぶせ物(補綴物)やむし歯の治療(修復物)などをやりなおす必要性が生じる可能性があります。
- 動的治療が終了し装置が外れた後に保定装置を指示通り使用しないと、歯並びや咬み合せの「後戻り」が生じる可能性があります。
- あごの成長発育により咬み合せや歯並びが変化する可能性があります。
- 治療後に親知らずの影響で歯並びや咬み合せに変化が生じる可能性があります。
また、加齢や歯周病などにより歯並びや咬み合せが変化することがあります。 - 矯正歯科治療は一度始めると元の状態に戻すことは難しくなります。





































